


















公司网址:www.www.y7k.org
厂家服务热线:0903-6682528
全国服务热线:400-966-8288
公司地址:新疆和田洛浦县杭桂路232号
摘要:目的 探讨音猬因子(Sonic hedgehog,Shh)通路在实验性自身免疫性脑脊髓炎(experimental autoimmuneencephalomyelitis,EAE)小鼠发病过程中的作用,及肉苁蓉多糖(cistanche deserticola polysaccharide,CDPS)能否通过该通路缓解EAE小鼠临床症状。方法 给予C57BL/6小鼠皮下注射髓鞘少突细胞糖蛋白35-55多肽(myelin oligodendrocyte glycoprotein 35-55,MOG35-55)抗原制备EAE动物模型。将60只小鼠随机分为正常对照组、EAE模型组、CDPS治疗组以及CDPS+Smo受体阻断剂环王巴明(cyc)治疗组(以下简称CDPS+cyc治疗组)4组,每组各15只。观察各组小鼠免疫注射后0~26d的临床症状评分,采用勒克斯光蓝染色(Luxol Fast Blue,LFB)检测各组小鼠脊髓组织内髓鞘脱失情况,Western blot法检测脊髓组织内Shh、碎片蛋白-1(Patched-1,Ptc-1)蛋白表达,采用RT-PCR检测脊髓组织内平滑蛋白(Smoothened,Smo)mRNA、神经胶质瘤相关癌基因1(Glioma-associated oncogene-1,Gli1)mRNA表达。结果 自CDPS治疗第9天开始,CDPS治疗
组小鼠临床症状评分低于EAE模型组(P<0.05),而CDPS+cyc治疗组临床症状评分高于CDPS组(P<0.05)。CDPS治疗组小鼠脊髓LFB评分较EAE模型组降低(t=9.64,P<0.01),而CDPS+cyc治疗组其LFB评分与EAE模型组比较差异无统计学意义(P>0.05)。EAE模型组小鼠脊髓组织内Shh、Ptc-1蛋白以及SmomRNA、Gli1mRNA表达水平较正常组升高(均P<0.01),经CDPS治疗后,上述因子表达进一步升高(均P<0.01),而经cyc干预后,上述因子表达较CDPS治疗组降低(均P<0.01)。结论 CDPS对EAE小鼠临床症状有改善作用,其作用途径可能与Shh信号通路有关。
关键词:肉苁蓉多糖;脑脊髓炎,自身免疫性,实验性;Shh通路;神经保护
多发性硬化(multiple sclerosis,MS)是一种以中枢神经系统炎性脱髓鞘病变为主要特点的自身免疫性疾病,其主要病理特征为髓鞘脱失、轴索损伤、少突胶质细胞病变,受损后神经细胞的修复和
再生对中枢神经系统的功能重建尤为重要[1]。Hedgehog(Hh)信号通路在神经系统的发育过程中起非常重要的作用[2],音猬因子(sonichedgehog,Shh)是Hh家族三大配体成员之一,
Shh信号通路的主要成分包括Shh配体、跨膜蛋白受体Ptc和平滑蛋白(smoothened,Smo)及下游转录因子神经胶质瘤相关癌基因(glioma-associatedoncogene,Gli)蛋白等。近年来有报道证实Shh信号通路在促进神经再生、少突胶质细胞发生混合轴突重塑方面有重要作用,对MS等神经退行性疾病的发生有重要影响[3]。
目前临床上治疗MS的手段主要有糖皮质激素冲击和免疫调节治疗[4],但疗效并不理想且副作用较大。肉苁蓉多糖(cistanche deserticola polysaccharide,CDPS)是从肉苁蓉中提取的化学成分,具有免疫调节、抗衰老、抗肿瘤等功能[5]。有研究证实,CDPS能通过多种机制改善帕金森病、缺血性脑卒中小鼠中枢神经功能[6-7],但其对MS的受损神经是否具有保护作用尚未可知。本研究观察了CDPS对实验性自身免疫性脑脊髓炎(experimental autoimmune encephalomyelitis,EAE)小鼠中枢神经的作用,并探讨其可能机制,为MS的临床治疗寻找更安全有效的药物。
1 材料和方法
1.1 实验动物 SPF级雌性C57BL/6小鼠60只,周龄8~10周,体重18~20g,购自北京维通利华实验动物技术有限公司。建模前将实验动物在SPF级环境下饲养1周。将小鼠随机分为正常对照组、EAE模型组、CDPS治疗组及CDPS+Smo受体阻断剂环王巴明(cyclopamine,cyc;以下简称“CDPS+cyc治疗组”)4组,每组15只。
1.2 主要试剂 髓鞘少突细胞糖蛋白35-55多肽(myelin oligodendrocyte glycoprotein 35-55,MOG35-55)购自美国Invitrogen公司,完全福氏
佐剂(complete Freunds adjuvant,CFA)购自美国Sigma公司,百日咳毒素(pertussis toxin,PTX),购自美国Sigma公司,cyc购自美国Cayman公
司,肉苁蓉生药由本院中药房提供,Smo、Gli1、β-catenin引物由上海生工生物工程有限公司合成,Shh、Ptc-1、GAPDH 抗体购自碧云天生物技术研究所。
1.3 方法
1.3.1 CDPS提取:肉苁蓉生药片10g,研磨成碎片,置95%(体积分数)乙醇中浸泡3h后用纱布过滤,弃滤液,加水反复煎煮3次,2h/次,过滤后合并滤液,减压浓缩体积至原生药溶液体积的2/3,
以5000r/min(离心半径15cm)离心10min,弃沉淀,上清液加2~3倍体积95%(体积分数)乙醇,4℃下静置24h后以3000r/min(离心半径15cm)离心20min,弃上清液,沉淀经水复溶、脱蛋白透析、冷冻干燥,获取多糖共2.20g。紫外分光光度计测定多糖含量>90%。
1.3.2 EAE小鼠模型建立[1]:将10mg MOG35-55溶于2mL生理盐水,并与含2.5mg/mL结核杆菌的CFA等体积混合,使用玻璃注射器反复抽打至完全融合,制成油包水样乳剂。以2%(质量浓度)戊巴比妥麻醉按体重3mL/kg给予小鼠背部沿脊柱中线两侧分四点皮下注射抗原乳剂0.2mL,分别于0、48h给予小鼠腹腔注射PTX 200ng,建立EAE模型。正常对照组小鼠以同法给予背部皮下注射不含MOG35-55和结核杆菌的乳剂。自免疫当天起,隔天观察并记录小鼠行为特征,采用五分法对小鼠进行神经功能评分[8]:0分,活动正常,无明显临床症状;1分,尾部无力;2分,后肢无力,翻转后可自行恢复;3分,尾部及双后肢瘫痪,翻转后不能自行恢复;4分,四肢瘫痪;5分,濒临死亡或死亡。神经功能评分≥1分即认为发病。共观察26d。
1.3.3 各组干预措施:(1)CDPS+cyc治疗组:自免疫后第12天起,每天按体重0.54mg/g给予CDPS灌胃(CDPS溶于生理盐水),同时按体重10mg/kg腹腔注射cyc,连续2周;(2)CDPS治疗组:自免疫后第12天起,以同法给予等剂量CDPS灌胃,同时腹腔注射等体积的生理盐水,连续2周;
(3)EAE模型组和正常对照组:按上述方法给予等体积的生理盐水灌胃及腹腔注射,持续2周。
1.3.4 组织标本采集:免疫后第26天,以2%(质量浓度)戊巴比妥麻醉小鼠,预冷生理盐水进行心脏灌注,采集脊髓组织,部分以4%(质量浓度)多聚甲醛固定后制成石蜡切片,剩余组织置-80℃冷冻保存备用。
1.3.5 勒克斯光蓝(Luxol Fast Blue,LFB)髓鞘染色[9]:将脊髓腰间膨大组织石蜡切片脱蜡,置于固蓝染液中孵育过夜,95%(体积分数)乙醇中洗脱1min,0.05%(质量浓度)碳酸锂溶液洗脱10s,乙醇梯度脱水,二甲苯浸泡至透明,中性树胶封片。置光学显微镜下观察髓鞘脱失情况:0分,无脱失,髓鞘完整;1分,1个小范围内脱失;2分,2或3个小范围脱失;3分,1~2个大范围脱失;4分,大范围髓鞘脱失累及20%以上白质区域。
1.3.6 脊髓组织Shh、Ptc-1 蛋白表达:采用Western blot法检测。将冻存脊髓组织剪成碎块,加蛋白裂解液,离心后取上清液,电泳分离蛋白,将蛋白转移至NC膜,用含5%(质量浓度)脱脂奶粉的TBST封闭,按顺序添加一抗、二抗,洗涤NC膜,ECL显色,胶片扫描后用Bandscan5.0软件分析蛋白条带灰度与内参条带灰度比值表示蛋白相对表达水平。
1.3.7 脊髓组织Smo、Gli1 mRNA 表达:采用RT-PCR检测。将冻存组织在液氮中研磨,加Trizol提取总RNA,行逆转录反应。取2μL RNA进行PCR扩增。β-actin内参引物序列:Sense:3′-TCGACTTAGCTAGCCAGCTAA-5′;Antisense:3′-TCGATTACGGCTAGCGCGGCT-5′;Smo mRNA 引物序列:Sense:3′-TCGGCTATTACGCTTGCTAAC -5′;Antisense: 3′-TCGGCTTAGCTCGATTAACCA-5′;Gli1 mRNA 引物序列:Sense:3′-TATTAGCTTAACGCTACCCAA
-5′;Antisense:3′-TCGGCTAGCCAAATTGCTAGG-5′。扩增条件:95℃ 预变性2min,1个循环;95℃变性30s,56℃退火30s,72℃延伸2min,共35个循环;72℃总延伸6min。取5μL PCR扩增产物进行电泳,紫外线投射仪下观察电泳条带,分析目的基因和内参基因的条带灰度。
1.4 统计学处理 采用SPSS19.0软件进行统计分析,对数据进行正态性和方差齐性检验,符合正态分布的计量资料以均数±标准差表示,多组均数间比较采用单因素方差分析,两两比较用LSD-t检验。以P<0.05为差异有统计学意义。
2 结果
2.1 临床症状评分 自免疫后第10天开始,EAE小鼠陆续出现临床症状,EAE模型组小鼠神经功能评分于24d达高峰,随后有所缓解;CDPS治疗组小鼠于治疗第9~26天(免疫后第20天)开始,其神经功能评分明显低于EAE模型组(均P<0.05);CDPS+cyc治疗组小鼠自治疗第9天(免疫后第20天)开始,其神经功能评分显著高于CDPS治疗组(均P<0.05),而与EAE模型组小鼠比较差异无统计学意义(均P>0.05)。结果见图1。

2.2 LFB染色 正常组小鼠髓鞘完整,无脱失;EAE模型组小鼠髓鞘密度明显下降;CDPS治疗组小鼠髓鞘LFB评分低于EAE模型组(1.30±0.21比2.58±0.25;t=9.64,P<0.01);CDPS+cyc治疗组小鼠髓鞘LFB评分与EAE模型组比较无统计学差异(2.13±0.31比2.58±0.25;t=0.83,P>0.05)。结果见图2。

2.3 各组小鼠脊髓Shh和Ptc-1蛋白表达 EAE模型组小鼠脊髓Shh、Ptc-1蛋白表达高于正常对照小鼠(t=8.97,P<0.01;t=14.28,P<0.01),CDPS治疗组脊髓Shh、Ptc-1蛋白表达高于EAE模型组(t=21.77,P<0.01;t=24.33,P<0.01),经cyc阻断后,Shh、Ptc-1蛋白表达较CDPS治疗组低(t=12.03,P <0.01;t=18.69,P <0.01)。结果见图3、4。

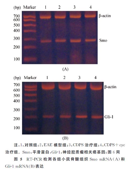
2.4 各组小鼠脊髓组织Smo mRNA 和Gli1mRNA 表达 EAE 模型组小鼠脊髓组织SmomRNA 和Gli1 mRNA 表达较正常小鼠高(t=10.28,P<0.01;t=7.22,P<0.01),经CDPS治疗后Smo mRNA和Gli1mRNA表达较EAE模型组高(t=25.28,P<0.01;t=12.30,P<0.01),而经cyc干预后,其Smo mRNA 和Gli1mRNA
表达水平与EAE模型组比较无统计学差异(t=1.25,P>0.05;t=0.96,P>0.05),但明显低于CDPS治疗组(t=18.33,P<0.01;t=21.01,P<0.01)。结果见图5、6。
3 讨论
Shh通过与Ptc结合可激发Smo活性,继而

引发下游信号通路的级联反应,调节细胞的增殖、分化等活动[3]。前期研究证实,在脑卒中[10]、MS[11]、阿尔茨海默病[12]等中枢神经受损后,Shh信号通路被激活,继而促进神经细胞再生、少突细
胞发生和轴突修复,而抑制Shh信号通路则加剧脑损伤。Zhang等[13]研究结果显示,脑活素能激活脑卒中实验大鼠中枢神经Shh通路,从而促进中枢神经再生,改善神经功能;Chechneva等[14]研
究证实Smo受体激动剂能减轻脑缺血性损伤,促进神经功能恢复。Yu等[15]研究显示,Smo受体阻断剂cyc可抑制Shh信号通路活性,进而导致神经干细胞的增殖活性受到明显抑制。本研究结果发


现,EAE小鼠中枢神经系统内Shh信号系统分子Shh、Ptc-1、Smo和Gli-1的表达明显高于正常小鼠,表明在受损中枢神经内,Shh信号通路被激活,这与前期研究结果一致。
肉苁蓉是列当科植物肉苁蓉的干燥带鳞叶的肉茎,具有免疫调节等作用[5],对神经系统疾病的防治有显著作用[6-7]。有研究证实,肉苁蓉可以对抗神经细胞内氧化应激反应所造成的DNA损伤,维持线粒体膜电位正常,抑制神经细胞的凋亡[16];同时,肉苁蓉能降低脑缺血后的梗死范围,保护脑组织的缺血性损伤[17];肉苁蓉能通过调控帕金森病模型大鼠中脑黑质-纹状体组织内PI3K/Akt通路的表达,发挥中枢神经细胞保护作用[6]。蔡克瑞等[7]研究发现,CDPS对D-半乳糖致衰小鼠的脑神经细胞具有保护作用,但目前有关肉苁蓉对MS中枢神经系统是否具有保护作用尚未见报道。本研究结果显示,给予EAE小鼠CDPS干预后,EAE小鼠神经功能评分明显低于EAE模型小鼠,髓鞘脱失情况亦得到显著改善;进一步探讨肉苁蓉对EAE小鼠中枢神经系统Shh信号通路是否有调控作用发现,肉苁蓉能上调EAE 小鼠脊髓组织内
Shh、Ptc-1、Smo和Gli-1的表达,表明CDPS能激活Shh信号通路;当Shh信号通路被cyc抑制后,CDPS改善EAE小鼠神经功能学及脱髓鞘的作用被抑制,且Shh相关信号分子的表达也较CDPS治疗组下降,表明Shh信号通路在CDPS对EAE小鼠的神经保护效应中起到重要作用。综上所述,本研究结果显示CDPS 能改善EAE小鼠临床症状,其发挥神经保护作用的途径可能是通过激活Shh信号通路有关。
参考文献:
[1]刘淑情.苦参素对实验性自身免疫性脑脊髓炎及其并发症视神经炎作用机制的研究[D].郑州大学,2018.
[2]邵帅.Sonic hedgehog/PI3K/AKt信号通路在帕金森病炎症模型中发挥神经保护作用的研究[D].广州医科大学,2017.
[3]赵红,吴晓君,刘赞华,等.局灶性脑缺血大鼠纹状体区域Shh信号通路成分的表达变化及对髓鞘修复的影响[J].中风与神经疾病杂志,2016,33(07):629-632.
[4]邱伟,徐雁.多发性硬化诊断和治疗中国专家共识(2018版)[J].中国神经免疫学和神经病学杂志,2018,25(06):387-394.
[5]Lin S,Ye S,Huang J,et al.How do Chinese medicines thattonify the kidney inhibit dopaminergic neuron apoptosis'[J].NRR,2013,8(30):2820-2826.
[6]林瑶,杨莎莎,刘婷,等.肉苁蓉对帕金森病模型大鼠PI3K、Akt、Bcl-2、Bax蛋白表达的影响[J].江西中医药大学学报,2019,31(01):83-86.
[7]蔡克瑞,刘志新,孙晓冬,等.肉苁蓉多糖对D-半乳糖致衰小鼠脑神经细胞的保护作用及机制[J].中国老年学杂志,2018,38(19):4732-4734.
[8]Li J,Chen W,Li Y,et al.Transplantation of olfactoryensheathing cells promotes partial recovery in rats withexperimental autoimmune encephalomyelitis[J].Int J ClinExp Pathol,2015,8(9):11149-11156.
[9]张明亮,刘方洲,吕莹,等.苦参素对实验性自身免疫性脑脊髓炎大鼠JAK2/STAT3表达的影响[J].中国医院药学杂志,2016,36(22):1973-1976.
[10]Jin YM,Raviv N,Barnett A,et al.The Shh signaling pathwayis upregulated in multiple cell types in cortical ischemia andinfluences the outcome of stroke in an animal model[J].PLoSOne,2015,10(4):e0124657.
[11] Wang Y,Imitol J,Rasmussen S,et al.Paradoxicaldysregulation of the neural stem cell pathway sonic hedgehog- Gli1 in autoimmune encephalomyelitis and multiplesclerosis.[J].Ann Neurol,2010,64(4):417-427.
[12]Vazin T,Ball K A,Lu H,et al.Efficient derivation of corticalglutamatergic neurons from human pluripotent stem cells:Amodel system to study neurotoxicity in Alzheimers disease[J].Neurobiol Dis,2014,62(8):62-72.
[13]Zhang L,Chopp M,Meier DH,et al.Sonic hedgehog signalingpathway mediates cerebrolysin - improved neurologicalfunction after stroke[J].Stroke,2013,44(7):1965-1972.
[14]Chechneva OV,Mayrhofer F,Daugherty DJ,et al.Asmoothened receptor agonist is neuroprotective and promotesregeneration after ischemic brain injury[J].Cell Death Dis,2014,5(10):e1481.
[15]Yu PP,Wang L,Tang FR,et al.Resveratrol pretreatmentdecreases ischemic injury and improves neurological functionvia sonic hedgehog signaling after stroke in rats[J].MolNeurobiol,2016,54(1):1-15.
[16]Wang YH,Xuan ZH,Tian S,et al.Echinacoside protectsagainst 6 - hydroxydopamine-induced mitochondrialdysfunction and inflammatory responses in PC12cells viareducing ROS production[J].Evid-Based Compl Alt,2015,2015:189239.Epub 2015Feb 18.
[17]Chen J,Zhou SN,Zhang YM,et al.Glycosides of cistancheimprove learning and memory in the rat model of vasculardementia[J].Eur Rev Med Pharmaco,2015,19(7):1234.
公司:win德赢官方
地址:新疆和田洛浦县杭桂路232号
公司网址:www.www.y7k.org
厂家服务热线:0903-6682528
全国服务热线:400-966-8288